تحليل eosinophils ماهو بالتفصيل ؟
الـ eosinophils هو نوع من الخلايا البيضاء في الدم، وهو جزء من الجهاز المناعي في الجسم. يمكن تحليل eosinophils من خلال فحص عينة الدم في المختبر، حيث يتم قياس نسبة الـ eosinophils الموجودة في العينة بالنسبة المئوية.
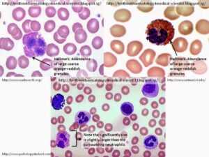
الـ eosinophils يتميز بوجود حبيبات ملونة بلون وردي في داخله، وهذه الحبيبات تحتوي على مواد كيميائية تلعب دوراً في حماية الجسم من الالتهابات والطفيليات والجراثيم. ومن المعروف أن ارتفاع نسبة الـ eosinophils في الدم يشير إلى وجود تفاعل التحسس (الحساسية) أو التهابات معينة في الجسم.
يمكن استخدام تحليل eosinophils لتشخيص الحالات التي تشمل الحساسية المزمنة مثل الربو والتهاب الجيوب الأنفية، وكذلك الأمراض الديدانية مثل الدودة الخيطية والتسطيحية. كما يمكن استخدامه أيضًا لمتابعة استجابة الجسم لعلاج الحساسية أو للتحقق من التحسن بعد العلاج.
مع ذلك، يجب ملاحظة أن تحليل eosinophils وحده لا يمكن أن يؤكد تشخيص معين، وغالبًا ما يتم استخدامه بالتزامن مع الاستفسارات الطبية الأخرى وتقييم الأعراض والتاريخ الطبي للمريض للوصول إلى تشخيص نهائي. يجب على الأشخاص الذين يعتقدون أن لديهم مشاكل صحية معينة استشارة الطبيب المؤهل لتقييم حالتهم وتوجيههم بشكل صحيح.

تحليل eosinophils لتقييم ومراقبة عدة حالات صحية أخري
بالإضافة إلى الأمراض المذكورة سابقًا، يمكن أن يتم تحليل eosinophils لتقييم ومراقبة عدة حالات صحية، بما في ذلك:
- الحساسية الغذائية: ارتفاع نسبة eosinophils في الدم يمكن أن يشير إلى وجود حساسية غذائية، مثل حساسية الحليب أو البيض. يتم استخدام تحليل eosinophils في هذه الحالات لتحديد مدى تفاعل الجسم مع مكونات الطعام المعينة.
- الأمراض التهابية المعوية: في بعض الحالات من التهاب الأمعاء المزمن، مثل التهاب القولون التقرحي ومتلازمة الأمعاء العصبية، قد يكون هناك ارتفاع في نسبة eosinophils في الأمعاء.
- الطفيليات: بعض الطفيليات مثل الدودة الخيطية والدودة الكبدية يمكن أن تتسبب في زيادة عدد eosinophils في الدم، ويمكن استخدام تحليل eosinophils للكشف عن هذه الحالات.
- التهاب الجلد: في حالات الأمراض الجلدية المزمنة مثل الأكزيما والصدفية، يمكن أن يحدث زيادة في عدد eosinophils في الجلد والدم.
تحليل eosinophils هو جزء من التقييم الشامل للحالة الصحية، ويجب أن يتم تفسير النتائج بالاعتبار التاريخ الطبي الشخصي للمريض والأعراض المرافقة. ينبغي على الأشخاص الاستشارة بشأن أي نتائج غير طبيعية مع الطبيب المعالج لتوضيح المشكلة وتحديد الخطوات المناسبة المطلوبة.
دواعي إجراء تحليل Eosinophils
تحليل eosinophils يُجرى لعدة أسباب أو دواعٍ من بينها:
- تشخيص الحساسية: يُستخدم تحليل eosinophils لتقييم وتشخيص الحساسية. عند وجود تفاعل تحسسي في الجسم نتيجة تعرضه لمواد معينة، مثل الغبار، اللقاحات، الطعام، الأدوية، يمكن أن ترتفع نسبة eosinophils في الدم. هذا التحليل يمكن أن يدل على وجود رد فعل التحسس ويُساعد في توجيه العلاج المناسب.
- الأمراض التهابية: يُستخدم تحليل eosinophils للمساعدة في تشخيص ومراقبة بعض الأمراض التهابية مثل التهاب الأمعاء، التهاب الجلد التأتبي، التهاب القولون التقرحي، ومرض التهاب القولون التقرحي. تزايد عدد eosinophils يمكن أن يشير إلى تفاعل التهابي في الجسم ويُساعد في تحديد خطة العلاج الأمثل.
- الإصابة بالطفيليات: في بعض الحالات، تنمو الطفيليات في الجسم وتؤدي إلى زيادة عدد eosinophils في الدم. لذلك، يُمكن استخدام تحليل eosinophils للكشف عن وجود الطفيليات مثل الدودة الخيطية والدودة الكبدية.
- متابعة العلاج: يُمكن أن يستخدم تحليل eosinophils لمتابعة استجابة المريض للعلاج. على سبيل المثال، في حالة الحساسية المعروفة، يمكن استخدام تحليل eosinophils لتقييم تأثير العلاج المضاد للحساسية وتحديد ما إذا كان العلاج فعالًا في تقليل عدد eosinophils.
يُذكر أنه يجب استشارة الطبيب المعالج لتوضيح الأسباب المحددة لإجراء تحليل eosinophils وتفسير النتائج بشكل صحيح واتخاذ الخطوات المناسبة بناءً على ذلك.
متي يهتم الطبيب بعمل تحليل eosinophils ؟
يُطلب تحليل eosinophils عندما يشتبه الطبيب في وجود حالات محددة أو للمتابعة وتقييم استجابة الجسم للعلاج. إليك بعض الأمثلة عندما قد يُطلب إجراء التحليل:
- الأعراض المرافقة: عندما يشتكي المريض من أعراض معينة قد تشير إلى تفاعل التحسس مثل الحكة الجلدية الشديدة، الطفح الجلدي، التهاب الأنف أو الجيوب الأنفية المزمن، الربو، الاضطرابات الهضمية المزمنة، أو أعراض مشتركة أخرى، قد يُطلب تحليل eosinophils لتقييم وجود تفاعل التحسس والتشخيص الدقيق.
- الأمراض المعروفة: في بعض الحالات، يُطلب تحليل eosinophils لتقييم ومتابعة حالات معروفة مثل التهاب الأمعاء التقرحي أو الأكزيما. يتم استخدام التحليل لتحديد شدة الالتهاب ومعرفة مدى استجابة المريض للعلاج.
- الطفيليات والديدان: عندما يشتبه الطبيب في وجود طفيليات أو ديدان في الجسم، يُطلب تحليل eosinophils للكشف عن وجود زيادة في عددها في الدم. ارتفاع عدد eosinophils قد يشير إلى وجود الطفيلية ويساعد في توجيه العلاج المناسب.
- متابعة العلاج: في حالة العلاج الطويل المدى، مثل علاج الحساسية المزمنة، قد يُطلب تحليل eosinophils بانتظام لمتابعة استجابة المريض للعلاج وضبط الجرعة اللازمة.
يراعي الطبيب الأعراض والتاريخ الطبي للمريض والاشتباهات التشخيصية الأخرى قبل طلب تحليل eosinophils. لذلك، يُنصح بمراجعة الطبيب المعالج لتحديد الوقت المناسب لإجراء التحليل وتوضيح الأسباب المحددة لإجرائه.
كيفية التحضير الامثل ل تحليل eosinophils
لتحضير لتحليل eosinophils، قد يُطلب منك اتباع بعض التوجيهات العامة التالية:
- الصيام: في بعض الحالات، يُمكن أن يُطلب منك الصيام لمدة معينة قبل إجراء التحليل. يُفضل أن تتحدث مع الطبيب أو المختبر المعني لتأكيد ما إذا كان هناك حاجة للصيام قبل التحليل أو إذا كانت هناك توجيهات خاصة للصيام.
- تجنب بعض الأدوية: قد يُطلب منك تجنب استخدام بعض الأدوية قبل إجراء التحليل، حيث يمكن أن تؤثر بعض الأدوية على نتائج التحليل. يُفضل أن تُبلغ الطبيب أو المختبر عن الأدوية التي تتناولها قبل إجراء التحليل مثل :
الأدوية التي تقلل الشهيّة مثل الأمفيتامينات. بعض أنواع المضادّات الحيويّة. الأدوية المهدّئة. بعض الأدوية التي تعالجالإمساك. الإنترفيرون. - اتباع التعليمات: يجب عليك اتباع التعليمات التي تُعطى لك من قبل الطبيب أو المختبر بعناية. قد يُطلب منك تجنب تناول الطعام أو المشروبات المحددة قبل التحليل، أو تجنب التدخين أو ممارسة الرياضة الشاقة قبله.
- السوائل والراحة: قد يكون من الجيد شرب كميات كافية من الماء قبل إجراء التحليل للمساعدة في عملية سحب العينة الدموية. كما يُفضل أن تأخذ قسطًا كافيًا من الراحة قبل التحليل للتقليل من أي تأثيرات سلبية ناتجة عن التوتر أو الإجهاد.
يجب أن تتحدث مع الطبيب المعالج أو المختبر المعني للحصول على التعليمات الدقيقة بشأن التحضير لتحليل eosinophils. يُفضل أن تُبلغهم عن أي حساسية أو آثار جانبية للأدوية أو أي ظروف صحية خاصة قد تؤثر على التحليل.
نتائج تحليل Eosinophils
نتائج تحليل eosinophils تُعرض عادةً بالنسبة المئوية لعدد الخلايا eosinophils مقارنة بإجمالي عدد الخلايا البيضاء في الدم. يتم تقييم النتائج بناءً على النسبة المئوية للـ eosinophils والنطاق الطبيعي المتفق عليه في المختبر الذي تم إجراء التحليل فيه.
عادةً ما يتم اعتبار النتائج الطبيعية لـ eosinophils بنسبة تتراوح بين 1٪ إلى 6٪ من إجمالي عدد الخلايا البيضاء في الدم. ومع ذلك، يجب ملاحظة أن النطاق الطبيعي قد يختلف بين المختبرات وفقًا للأساليب والمعايير المستخدمة في التحليل.
إذا كانت النتيجة تظهر زيادة في نسبة eosinophils فوق النطاق الطبيعي، فقد يكون ذلك مؤشرًا على وجود حالة مرضية أو تفاعل التحسس. يجب عليك استشارة الطبيب لتفسير النتيجة وتحديد الأسباب المحتملة والخطوات التشخيصية أو العلاج المناسبة.
من الأهمية بمكان أن يتم تحليل النتائج بالاعتبار الأعراض والتاريخ الطبي للمريض والاستشارة مع الطبيب المعالج لتوضيح معنى النتائج واتخاذ أي إجراءات ضرورية.
المصدر من انتظر 25 ثانية لظهور الرابطهنا
